
ホワイトニング
歯の白さを上げる

口元の美容でつくる
美しさの土台
近年では、美容を目的に歯科を訪れる患者様も少なくありません。
顔の下半分を占める口元は、その方の印象を大きく左右するため、オーラルケアは美しさの基礎をつくれると言っても過言ではないでしょう。
美しい印象を手に入れていただくために、大森歯科でも審美治療を展開しています。
ただ美しくするだけではなく、健康的に美しさを維持できることを目標に、治療メニューを展開することで、患者様に負担なく安心して治療を受けていただける体制を整えています。

歯の白さは清潔感を与えるだけでなく、肌の色のトーンまで明るく見せます。
整った歯列での笑顔は好印象を与えます。また出っ歯や受け口は輪郭も左右します。

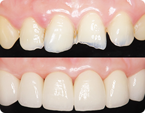
欠けてしまったり、削ってしまった歯があると美しさを損なってしまいます。

ブレスケアは最低限のエチケット。細菌コントロールが必要です。
大森歯科では口元を理想的な見栄えに導くために、審美的な歯科治療を展開しています。

歯の白さを上げる
歯はエイジングや食生活によって黄ばみます。ホワイトニングでは気になる黄ばみを分解し、理想の白さへと導きます。 サロンで行うホワイトニングと違い、歯科で行うホワイトニングは医療用の薬剤により、着色汚れを落とすだけでなく歯の色素を分解して明度の高い白さを実現します。

ホームホワイトニング
自宅でできるホワイトニングです。専用のマウスピースにホワイトニング剤を塗布して装着し、一定時間放置します。

歯列を美しく整える

歯のカタチを補う
むし歯などの疾患、審美目的で削ったり、事故で欠けたりした歯を補う治療を「ほてつ治療」と呼びます。
クラウン(被せ)、インレー(詰め物)を使用します。ほてつ治療は素材が重要です。見栄えや噛み心地、価格など総合的に判断して提案します。

セラミック
陶材でできています。
噛み心地や舌触りは天然歯に近く、透明感ある白さです。

ジルコニア
自然な白さと透明感があり、耐久性に優れています。ダイヤモンド類似石として使用されます。

ハイブリッドレジン
セラミックとレジン(プラスチック)でできており、柔らかく歯を傷めづらい。長期使用で変色が感じられます。

イーマックス
ニケイ酸リチウムを主成分にしたセラミックで造られたもの。天然歯に近い摩耗性をもっている為対合歯へのダメージが少ない。

コンポジットレジン
プラスチックでできており、柔らかい素材で強度はあまり強くありません。変色しやすいデメリットがあります。

メタルボンド
金属にセラミックを貼り付けたもの。見た目には自然ですが、金属アレルギーや歯茎の変色が懸念されます。
「美しさ」×「健やかさ」 総合的なオーラルケアを
大森歯科の審美治療では、健康のもとに成り立つ美しさを大切に、治療を行っています。 美しさをつくる美容治療とむし歯や歯周病を治療する一般歯科は違うもののようでも、密接に関係しています。 いくら歯を白くしても、歯周病や虫歯がある歯は美しいとは言えません。 また、歯並びが整っても、かみ合わせが悪く体調に不具合が出るようではいけません。 私たちは、口腔内の健康を考えた美容治療で、総合的なオーラルケアを実践しています。
こどもとおとなの笑顔を守る
玉造のかかりつけ医

JR大阪環状線「玉造駅」より徒歩1分/
大阪市営長堀鶴見緑地線「玉造駅」より徒歩3分
tel: 06-6762-8218 急患随時受付中
| 診療時間 | 月 | 火 | 水 | 木 | 金 | 土 |
|---|---|---|---|---|---|---|
| 9:30〜13:00 | ● | ● | ● | ● | ● | ● |
| 14:30〜19:00 | ● | ● | ▲ | ● | ● | ▲ |