健康な歯を生涯保ち続けるには、歯を失う原因となる疾患のむし歯や歯周病を早期発見して早めに治療する必要があります。1本歯を失うと歯並びや噛み合わせが悪くなり、さらには顔の輪郭や発音などにも影響するため、できるだけ天然歯を残せるように治療することが大切です。
症状の段階に合わせて、できるだけ削らず抜かない治療を考えて、口腔内の健康を取り戻します。患者様の未来を考えた口腔管理で健康状態を維持し、80歳までに20本の歯を残せるように治療を行なっています。
歯科の2大疾患と呼ばれるむし歯と歯周病を防ぐには口腔内の環境を整えることが大切です。
健全な口腔内を保つことは、健康な歯の維持と全身の健康につながります。
歯と周辺組織の構造を知る
歯は、口の中に露出している部分である歯冠、歯冠より下の部分である歯根からできており、歯槽骨、歯肉、歯根膜の支持組織によって支えられています。口腔内に細菌が繁殖すると、歯や歯茎に影響を及ぼし、歯の疾患につながります。歯、歯茎、歯周組織のコンディションを清潔に保ち、疾患予防を行うことが大切です。
世界で最も多い疾患であるむし歯は、未治療の状態で多くの人に存在します。
治療が困難になる前に受診し、歯を残せるように早期治療を行いましょう。
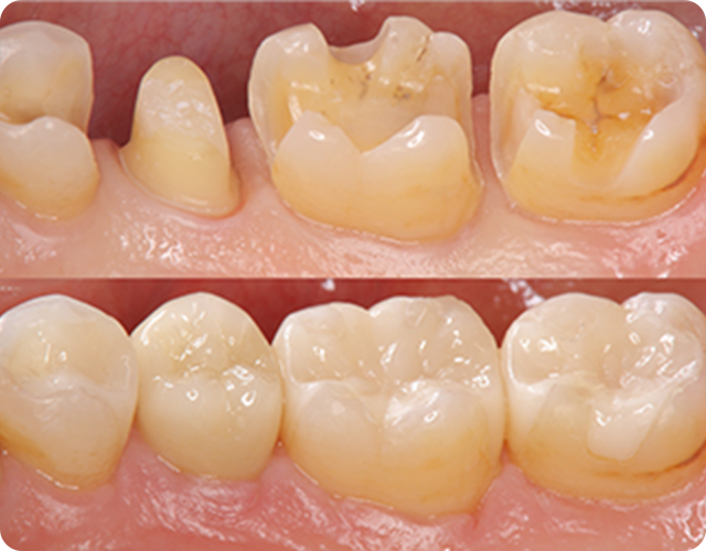
歯垢(プラーク)の中のむし歯菌が糖質から酸をつくり、その酸で歯を溶かして歯に穴を開けてしまうのがむし歯です。進行してしまったむし歯は自然に治すことはできず、段階に合わせた治療を行います。重度のむし歯になると抜歯をしなくてはならなくなるため、早期発見・早期治療が重要です。いつまでも健康でいるために、歯に違和感や痛みを感じたら必ず受診してください。
※横スライドしてご覧ください
感染部分を残さないようにむし歯部分を取り除きつつ、不必要に歯を削らないように、拡大鏡で確認しながら精緻な治療を行います。
患者様と相談して補綴物を選択し、形や噛み合わせを調整して補綴物を作成します。削り取られた部分に補綴物を装着し、噛む機能や見た目を取り戻します。
歯の根まで感染していた場合には、神経を取り除いて神経が入っていた根管を洗浄・除菌し、薬剤を詰めて被せ物をして再感染を防ぎます。
近年さまざまな全身疾患との関連性が明らかになってきている歯周病。
全身疾患を予防するためにも正しい口腔ケアを行うことが大切です。
歯周病とは歯ぐき(歯肉)や、歯を支える骨などが溶けてしまう病気です。進行すると膿がでたり歯が揺れ始め、最後には歯を抜かなければならなくなってしまいます。原因となる歯石は自分では除去することができないため、定期的に歯科医院で口腔内のクリーニングを行う必要があります。また歯周病となる細菌は、全身の様々な病気を引き起こしたり悪化させる原因となるため、歯周病の予防や治療は健康を維持するためにはより重要となります。
※横スライドしてご覧ください
軽度
歯肉炎と同じで、歯肉が腫れて赤くなり歯磨きのときに出血してきます。歯を支える骨が溶け始め、歯肉が下がってきます。
歯磨き指導や歯石除去などの口腔内のクリーニングで治療します。
中度
歯を支えている骨が半分ほど溶け、歯が少しグラついて浮いている感覚があります。歯と歯の間の歯肉が下がり、歯が長くなったように見えます。
抗生物質と口腔内全体のクリーニングに加え、外科治療が必要となってきます。
重度
骨が3分の2以上溶け、歯がグラグラと動き出して噛むことが難しくなってきます。歯周ポケットからは膿が出てくるようになります。
抗生物質と口腔内全体のクリーニングに加え、外科治療や補綴を行います。最悪の場合は抜歯する必要があります。
普段の歯磨きだけでは歯垢は約60%しか除去できないと言われています。
口腔トラブルを予防するためにも、歯科医院で専門的なクリーニングをおすすめしています。
体の健康のためには歯の健康を維持することが大切ですが、毎日の歯磨きだけでは取りきれない汚れもあります。日々お口の中で汚れは蓄積されていき、ネバネバとしたバイオフィルムという汚れとなります。バイオフィルムはむし歯や歯周病の原因となる細菌の塊でブラッシングでは取りにくいため、専門家のクリーニングを受けて除去する必要があります。
むし歯や歯周病にならないためにも、定期的に歯科医院でクリーニングすることをおすすめしています。
不正咬合は、口腔トラブル以外に発音や咀嚼機能の低下など、さまざまな疾患の原因となります。
噛み合わせを見ることで口腔内を総合的に診断し、口内環境の改善につなげます。
不正咬合とは、歯並びや噛み合わせが悪い状態のことです。不正咬合だと咀嚼機能が正常に働かず口腔内にプラークが溜まり、むし歯や歯周病の原因となるといわれています。不正咬合にはいくつかの種類があり、症例やクセなどの生活習慣によって治療の方法は異なります。CT撮影で歯並びから顎関節までを精緻に検査し、患者さまごとに最適な治療方法をご提案いたします。
こどもとおとなの笑顔を守る
玉造のかかりつけ医

JR大阪環状線「玉造駅」より徒歩1分/
大阪市営長堀鶴見緑地線「玉造駅」より徒歩3分
tel: 06-6762-8218 急患随時受付中
| 診療時間 | 月 | 火 | 水 | 木 | 金 | 土 |
|---|---|---|---|---|---|---|
| 9:30〜13:00 | ● | ● | ● | ● | ● | ● |
| 14:30〜19:00 | ● | ● | ▲ | ● | ● | ▲ |